- 「親知らずが埋まっているかどうかはレントゲンでわかるのかな?」
- 「親知らずを抜歯する方法が知りたい」
- 「レントゲン撮影の費用が知りたい」
などとお考えではありませんか?
親知らずの位置や状態は、目で見る肉眼だけで正確に確認できるものではありません。
特に親知らずが歯茎や顎の骨に埋まっている場合、その状態を正確に把握するためにはレントゲン検査が必要です。
この記事では、親知らずが埋まっているかどうかをレントゲンで確認する方法、埋まっている親知らずを抜歯する際の手順、さらには埋まったまま放置するとどのようなリスクがあるのかについて解説します。
目次
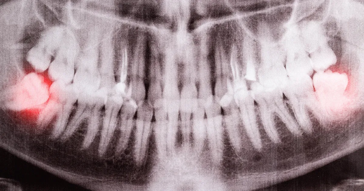
親知らずが埋まっているかどうかはレントゲンでわかるのか?

親知らずが埋まっているかどうかは、レントゲンやCTスキャンによって正確に確認できます。
特に親知らずが歯茎や顎の骨に埋まっている場合、通常の目視では確認できません。
歯の根っこの方向や、隣接する神経(下歯槽神経)や隣り合う歯との位置関係を把握するために、レントゲン撮影は非常に重要です。
レントゲン画像では、親知らずが完全に埋まっている場合でも、骨や歯の根の状態を確認できるため、抜歯の判断や治療計画の立案に役立ちます。
また、顎の骨の厚みや神経との距離も把握できるため、治療リスクを最小限に抑えるための情報を提供します。
関連記事:親知らずは最高何本生えてくるのか?早く抜いた方がいい理由についても解説
レントゲンで埋まっていると確認した親知らずを抜歯する方法

親知らずが埋まっていて周囲組織に悪い影響を与えていると確認された場合、抜歯手術が必要になることがあります。
特に骨の中に完全に埋まっている親知らずは、通常の抜歯手術よりも大変ですから慎重に進める必要があります。手順は以下のようになります。
- 局所麻酔の実施: 患者の痛みを抑えるために局所麻酔を使用します。歯科ハミール本院(半田市 歯科)ではさらに痛みを抑えるために表面麻酔を行ってから局所麻酔をしております。
- 歯茎の切開: 親知らずが埋まっている場合、歯茎をメスで切開して露出させます。
- 骨の削除: 親知らずが深く埋まっている場合、周囲の骨を一部バーなどで削ることがよくあります。
- 親知らずの分割: 歯が引っかかっていると取れないので、親知らずを分割して取り除くことがあります。
- 縫合: 抜歯後、切開した場合歯茎を縫合して綺麗に直るように整えます。
半田市の歯医者|歯科ハミール本院の親知らず治療の詳細はこちら ≫
親知らずが埋まっているか確認するためのレントゲン撮影費用

親知らずのレントゲン撮影費用は、一般的に保険を使って数千円程度が目安です。
また、CTスキャンを使用する場合はさらに保険で3,600円程度費用がかかることがあります。
歯科医院によって自費請求したりと費用が異なるため、事前に確認することが重要です。
親知らずが埋まっているとどんな状態なのか?

埋まっている親知らずは、完全に歯茎や顎の骨に覆われている場合もあれば、部分的に見えていることもあります。
- 親知らずの歯が半分埋まっている
- 親知らずの歯が全部埋まっている
順番に解説します。
親知らずの歯が半分埋まっている
親知らずが部分的に見えていて、半分が埋まっている場合、歯茎や隣の歯に影響を与えるリスクが高まります。
この状態では、歯茎が炎症を起こしやすく、周囲の歯に悪影響を与えることがあります。
また、親知らず自体が虫歯になっていることも多いです。
親知らずの歯が全部埋まっている
親知らずが完全に骨や歯茎の中に埋まっている場合、症状が現れないこともありますが、放置すると膿や感染を引き起こすリスクが増えます。
後で悪さをしないために定期検診でのチェックが必要です。
関連記事:親知らずがまっすぐ生える確率は約20%!?|生え方や対処法について解説
親知らずが埋まっているのを放置することで起こる問題

親知らずが埋まっている状態を放置すると、以下の問題が発生する可能性があります。
- 口臭の原因になる
- 虫歯・歯周病になる
- 歯並びに悪影響を与える可能性がある
- 顎の中で膿んでしまう
- 歯の根っこが押され溶けてしまう
順番に解説します。
口臭の原因になる
埋まった親知らずの周囲には食べ物の残りやすく、細菌が蓄積しやすい環境が形成されます。
これが分解される過程で悪臭を放つことがあり、口臭の一因となります。
親知らずの周りを特に丁寧に清掃することや、定期的に歯科医院でのクリーニングを受けることが推奨されます。
虫歯・歯周病になる
親知らずが完全に生えきらないことで、その部分の清掃が困難となり、虫歯や歯周病のリスクが増大します。定期的な歯科検診と、適切な口腔衛生維持が必要です。
歯並びに悪影響を与える可能性がある
親知らずが他の歯を押し出すことで、徐々に歯並びが悪化する可能性があります。
この問題を防ぐためには、早期の段階での親知らずの評価と必要に応じての抜歯が考慮されるべきです。
顎の中で膿んでしまう
埋まった親知らずが感染すると、その周囲の組織に膿がたまり、場合によっては顎の骨を侵すことがあります。
感染が疑われる場合は、抗生物質の使用や緊急の医療処置が必要になることがあります。
歯の根っこが押され溶けてしまう
親知らずが隣接する歯の根を圧迫し、その結果、根が溶けてしまうことがあります。
これは長期間にわたる問題であり、定期的なレントゲン検査により早期発見することが重要です。
親知らずをすぐに抜いた方がいい状況

親知らずをすぐに抜いた方がいい状況は以下の通りです。
- 顎に違和感がある
- 腫れや痛みがある
- 歯並びに影響している
順番に解説します。
顎に違和感がある
親知らずが正常に生えてこない場合、顎の骨に圧力をかけ、神経や周囲の組織に影響を及ぼすことがあります。
これにより、顎に違和感や痛みを感じることが一般的です。
特に親知らずが水平に生えてくる場合や、他の歯を圧迫している場合によく見られます。
このような症状が見られる場合は、早期に歯科医師に相談し、必要に応じてレントゲン検査を行うことが推奨されます。
腫れや痛みがある
親知らずの生え方が原因で歯茎に炎症が起こり、腫れや痛みが発生することがあります。
この痛みは食事の際に特に感じられることが多く、日常生活に影響を及ぼす場合もあります。
親知らず周囲の腫れや痛みが見られる場合は、抗生物質の処方や、状態に応じて抜歯が必要となることがあります。
歯並びに影響している
親知らずは、特に歯列矯正中または矯正後の患者において、歯並びに悪影響を及ぼすことがあります。
親知らずが他の歯を押し出すことで歯並びが乱れる可能性が高いため、矯正治療を検討している場合は、抜歯を事前に行うことが一般的です。
これにより、矯正治療の結果が安定し、後戻りを防ぐことができます。
親知らずを抜かなくてもよい状況

親知らずを抜かなくてもよい場合もあります。
- 痛みや違和感がない
- 骨の中で他の歯を圧迫していない
順番に解説します。
痛みや違和感がない
親知らずが埋まっているが、痛みや違和感が全くない場合、抜歯を急ぐ必要はありません。しかし、将来的な問題を未然に防ぐためには、定期的な歯科検診が非常に重要です。
定期検診では、親知らずの位置や周囲の組織の状態を確認し、潜在的なリスクを評価します。
このアプローチにより、必要に応じて早期介入が可能となります。
骨の中で他の歯を圧迫していない
親知らずが他の歯や神経に影響を与えていないことがレントゲンやCTスキャンで確認された場合、抜歯を行わない選択もあり得ます。
これにより、不必要な手術リスクやコストを避けることができます。
ただし、定期的な画像診断を通じて、親知らずの状態をモニタリングし続けることが推奨されます。
特に親知らずが埋まっている状態は、時間と共に状況が変わる可能性があるため、定期的な評価が重要です。
親知らずが原因で歯茎が腫れたときの治療方法

親知らずが原因で歯茎が腫れた場合、治療方法は以下の通りです。
- 炎症を抑える
- のちに抜歯する
順番に解説します。
炎症を抑える
親知らず周辺で炎症が発生した場合、最初の対応として抗生物質や消炎剤の使用が一般的です。
これらの薬は、感染を抑え、炎症を軽減する効果があります。適切な薬の選定と投与は、症状の重さや患者の全身状態を考慮した上で、歯科医師が行います。
この初期治療は、抜歯を行う前の環境を整えるために重要です。
のちに抜歯する
炎症が落ち着いた後、局所麻酔を使用して親知らずの抜歯を行います。
炎症が収まると、麻酔薬が効きやすくなり、抜歯時の痛みを軽減できるため、患者の快適性が向上します。
抜歯は、親知らずが引き起こす様々な問題(炎症、感染、歯並びの悪化など)を根本から解決する効果的な方法です。
抜歯後は適切なアフターケアが必要となり、指示に従って口内の清潔を保つことが重要です。
親知らずを抜歯したあとの注意点

親知らずを抜歯した後は、以下の点に注意しましょう。
- 圧迫止血をする
- 抗生物質・痛み止めを服用する
- 喫煙・飲酒・運動を控える
- 患部を舌で触らないようにする
- 激しいうがいをしない
順番に解説します。
圧迫止血をする
抜歯後の出血を抑えるためには、ガーゼを使用して傷口に15分から30分間圧迫を行うことが効果的です。
この圧迫止血は、出血が収まるまで数回繰り返すことが推奨されます。
ガーゼをしっかりと噛むことで、血餅がしっかりと形成され、出血を早期に止めることができます。
抗生物質・痛み止めを服用する
処方された抗生物質と痛み止めは、感染予防と痛みのコントロールに非常に重要です。
痛み止めは抜歯前に飲むことで、処置後の不快感を軽減できます。
これらの薬は、歯科医師の指示に従って正しく服用してください。
喫煙・飲酒・運動を控える
抜歯後は、喫煙、飲酒、激しい運動を控えることが非常に重要です。
これらの行為は血行を促進し、出血を増やしたり、感染のリスクを高める可能性があるためです。
患部を舌で触らないようにする
傷口を刺激しないよう、舌や指、歯ブラシなどで直接必要以上に触れないように気をつけましょう。
激しいうがいをしない
抜歯後は激しいうがいを避け、優しいうがいを心掛けてください。
強い力でうがいをすると、形成された血餅が剥がれてしまう可能性があります。
半田市で親知らずを抜くなら歯科ハミール本院がおすすめの理由

歯科ハミール本院をおすすめする理由は院長の立場でたくさんありますが、主には以下のとおりです。
- 豊富な経験と高い技術力
- 最新の設備と安心の治療環境
- ホスピタリティーに優れたアプローチ
- アクセスの良さと便利な施設
- 徹底したアフターケア
順番に解説します。
豊富な経験と高い技術力
歯科ハミール本院は、30年以上の歴史を持つクリニックで、元院長の赤崎知彦先生が障害者歯科や訪問診療だけでなく、難抜歯も専門家として、数多くの親知らず抜歯に対応してきました。
現在の院長である赤崎絢先生、赤崎雄飛先生、そして阿部先生も、知彦先生の高い技術と豊富な経験を受け継ぎ、難しい症例でも安心して治療を受けることができます。
最新の設備と安心の治療環境
歯科ハミール本院は、CTスキャンやiTeroスキャンなどの最新機器を完備しており、精密な診断と治療を行っています。
これらがあるとないでは治療前の診断力に大きな差が出ます。
精密な診断と最適な治療計画を立てられるのが大きな強みです。
たとえば、抜歯による麻痺の可能性を減らせられるため、患者さんからすると安心して治療を受けられます。
ホスピタリティーに優れたアプローチ
歯科ハミール本院では、治療前の丁寧な説明と同意書の提供を行い、患者さんの安心感を大切にしています。
どれだけ良い治療をしても、患者さんにホスピタリティーを提供できなければ安心してもらえません。
受け入れてもらえなければ医院の一歩的なアプローチになってしまいますので、ハミールはホスピタリティー提供を最も大切にしております。なんでも聞いてみてくださいね。
たとえば、麻酔についても、表面麻酔として塗り薬を使用し、さらに電動麻酔器でゆっくりと麻酔薬を注入することで、痛みを最小限に抑えています。
患者さんに対しては、常に優しい声かけや配慮を忘れません。
アクセスの良さと便利な施設
本院は名鉄住吉町駅から徒歩1分の位置にあり、通院も非常に便利です。
駐車場も完備しているため、車でのアクセスも問題ありません。
さらに、保育ルームも完備しており、子供連れのママさんも安心して治療を受けることができます。
徹底したアフターケア
親知らずの抜歯後も、歯科ハミール本院では徹底したアフターケアを行っています。
炎症を抑えるためのテルプラグの使用など、患者さんが快適に回復できるようにサポートしています。
テルプラグは、抜歯後の炎症を抑えるために使用され、傷口を保護する役割も果たします。
スポンゼルという止血剤も使ったりします(※今は在庫切れで注文できないのです)
まとめ【レントゲンで親知らずを抜歯する必要があるかがわかる】
親知らずが埋まっているかどうかは、レントゲンやCTによって確認することができます。
埋まっている親知らずを放置すると、さまざまなお口の中のトラブルを引き起こす可能性があるため、早めに歯科医院での検査・治療を行うことが重要です。
歯科ハミール本院では、最新の機器と技術を駆使し、安心・安全な治療を提供しています。
歯科ハミール本院の詳細情報
【お問い合わせ先】 歯科ハミール本院 (半田市 歯医者、 半田市 歯科、半田市 歯科医院)
- 住所: 愛知県半田市宮路町118 シャトー宮路1F&2F
- 電話番号: 0569-24-6480
- Webサイト: https://hamille-dental.com/hamille
診療案内【平日】午前 9:00〜13:00/午後 14:30〜18:30
【土曜】午前 9:00〜13:00/午後 14:00〜18:00
【休診日】日曜・祝日
※最終受付時間は1時間前までとなります。
※急患の場合は応相談、お電話下さい。
この記事を監修した人

歯科ハミール本院 院長 赤崎 絢
所属学会
略歴

