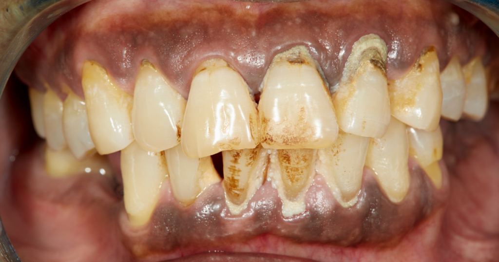
歯周病の治療を受けたあと、これまで埋まっていた歯と歯の間に隙間ができているのを見て、「治療したのに逆に見た目が悪くなったのでは?」「食べ物が詰まりやすくて不安」と感じる方は少なくありません。
実は、治療後に隙間が空いて見える状態(ブラックトライアングル)は珍しいものではなく、歯ぐきが健康を取り戻した証拠として、様子を見て問題ないケースも多いのです。ただし、注意が必要なサインがあるのも事実です。
この記事では、歯周病治療後の歯ぐきの状態を正しく理解するために、様子見の目安や歯科医院に相談すべきタイミング、日常生活で気をつけたいポイントをわかりやすく解説します。

目次
歯周病治療後に隙間が空いて見える理由と状態の考え方
歯周病治療を終えた直後、歯ぐきが下がって隙間ができたように感じることがあります。しかし、これは多くの場合、歯ぐきや骨が悪化したわけではありません。
治療によって炎症が治まり、腫れていた歯ぐきが引き締まった結果、本来の健康な位置に戻ったことで隙間が現れることが多いのです。これは自然な回復過程の一つといえます。
また、見た目に変化があっても、出血や痛みが治まっていれば、内側では組織の修復が進んでいるケースも少なくありません。
もともとの歯周病の進行度や体質によって、歯ぐきの引き締まり方には個人差が生じます。
治療後は一時的に隙間が目立つことがある
歯周病治療(歯石除去やクリーニング)を行うと、それまで歯石や汚れ、そして炎症による腫れで埋まっていたスペースが、腫れが引くことで「隙間」として現れます。
そのため、治療部位には一時的に空間ができ、結果として黒い三角形のような隙間(ブラックトライアングル)が目立ちやすくなります。これは、ぶよぶよとしていた歯ぐきが、健康で硬いピンク色の歯ぐきへと修復されていく過程で起こる仕組みです。
この過程には個人差があり、数週間から数ヶ月かけて、歯ぐきの形が安定していくこともあります。
特に歯周病が進行していた箇所ほど、腫れが大きかった分、引き締まったときの変化(隙間)が気になりやすい傾向があります。
痛みがなくても回復が進んでいる場合がある

隙間が空いて見えると、「しみて痛いわけではないけれど、このままでいいの?」と不安になる方もいるかもしれません。
しかし、治療後の回復過程では、必ずしも痛みを伴うとは限らず、経過が順調であれば痛みを感じないケースも多々あります。
炎症が落ち着き、歯ぐきの色が赤からピンク色に変わってくると、見た目には隙間があっても、内側では歯周組織の健康が取り戻されていることがあります。
そのため、隙間があることだけを異常ととらえる必要はありません。大切なのは、隙間の有無だけで判断せず、歯ぐきの色や出血の有無などを含めて状態を見極めることです。
隙間の大きさや治り方には個人差がある
治療後の隙間の大きさや、歯ぐきの位置が安定するまでにかかる期間には、明確な個人差があります。
歯並びや歯周病の進行度に加え、年齢やブラッシングの強さによっても、歯ぐきの状態は大きく左右されるのが一般的です。
たとえば、歯を支える骨がすでに吸収されていた(溶けていた)場合は、炎症が治まっても骨の高さまでしか歯ぐきが戻らないため、隙間が残りやすくなります。一方で、軽度の歯肉炎だったケースでは、早い段階で元の状態に戻ることもあるでしょう。
他人と比べるのではなく、自分の口内環境において炎症のない健康な状態が保たれているかを見極める視点が重要です。
隙間が空いたままでも様子を見てよい3つの目安

隙間が空いた状態が続くと、このまま様子を見てよいのか、それとも歯科医院を受診すべきか迷う方は少なくありません。あらかじめ判断の目安を知っておけば、不安を抱えずに経過を見守れます。
しみる感じ(知覚過敏)が時間の経過とともに和らいでいるか、歯磨き時の出血がないか、歯の揺れが落ち着いているかといった点が一つの判断材料です。
これらの状態を落ち着いて確認することで、様子を見てよいかどうかを判断しやすくなるでしょう。
1. しみる感じや違和感が少しずつ軽くなっている場合
治療後に冷たいものがしみる(知覚過敏)ことがあっても、時間の経過とともに少しずつ和らいでいるのであれば、歯の神経が落ち着き、回復が順調に進んでいる可能性が高いと考えられます。
数週間前と比べてしみる頻度が減っている、気になる時間が短くなってきたと感じる場合は、様子を見ても問題ないケースが多いでしょう。
回復の途中では、唾液中の成分によって歯の表面が再石灰化し、しみが落ち着くまでに1〜2ヶ月ほどかかることもあります。大切なのは、痛みが強くなっていないか、生活に支障が出るほどの激痛ではないかを冷静に確認することです。
2. 歯磨き時の出血がない場合
隙間が気になっても、歯磨きの際に出血が見られなければ、歯ぐきの炎症自体は治まっている証拠です。
健康な歯ぐきは引き締まっており、多少ブラシが当たっても簡単には出血しません。出血がないということは、細菌のコントロールがうまくいっており、治療の効果が出ている状態と言えます。
ただし、出血がないからといってブラシを強く当てすぎるのは禁物です。優しく丁寧なケアを続けられているかが、判断の重要なポイントになります。
3. 歯ぐきの色や腫れが目立たない場合
治療後の歯ぐきは、炎症が引くにつれて赤黒い色から薄いピンク色へと変化していきます。
そのため、隙間があっても歯ぐきの色が健康的で、触れてもブヨブヨとした腫れを感じない場合は、状態が安定しつつあると考えられます。
一方で、歯ぐきが再び赤く腫れてきたり、膿が出てきたりした場合は注意が必要です。色や硬さの変化を確認することで、様子を見てよいか、早めに受診すべきかを判断しやすくなります。
歯医者に相談したほうがよい状態と3つのサイン

このまま様子を見ていてよいのか、不安が強くなってくる場合は、早めに歯科医院へ相談したほうがよいサインを知っておくことが大切です。
しみる痛みが次第に強くなっている、歯がグラグラして噛めない、口の中ににおいや強い不快感を感じるといった場合は、歯周病が再発している、あるいは別の問題が起きている可能性があります。
これらの変化に気づいたときは、自己判断で様子を見続けるのではなく、歯科医院を受診し、専門的な判断を受けることで適切な対応につながります。
1. しみる痛みが強くなってきている場合
治療後の一時的な知覚過敏はよくありますが、通常であれば時間の経過とともに徐々に落ち着きます。そのため、日が経つにつれてかえって痛みが強くなっている場合は注意が必要です。
何もしていないときでもズキズキと痛む、温かいものでも強い痛みを感じるといった症状がある場合は、神経の炎症が進んでいる可能性があります。
また、知覚過敏用の歯磨き粉を使用しても改善が見られない状態が続くときは、自己判断で様子を見続けるより、早めに歯科医院へ相談したほうが安心です。
2. 歯が揺れている・噛むと痛い場合
治療から時間が経っても、歯の揺れ(動揺)が収まらない、あるいは以前より揺れが大きくなっている場合は、歯を支える骨の負担が減っていない可能性があります。
多くの場合、炎症が治まれば歯の揺れも多少改善しますが、噛み合わせの問題や進行した骨の吸収が原因で、「噛むと痛い」「不安定だ」という状態が続くこと自体が判断材料になります。
また、隙間が広がり続けているように感じる場合も、歯科医院で一度診てもらうことで安心につながるでしょう。
3. においや不快感が気になる場合
歯と歯の隙間から嫌なにおいがする、口の中に常にネバネバした不快感が残ると感じる場合も、受診を検討するべきサインの一つです。
食べかすが溜まって腐敗していたり、再び歯周ポケット内で炎症が起きて膿が出ていたりすると、においや違和感として自覚されます。
原因がはっきりしないまま不安を抱え続けるよりも、早めに受診することで、必要な処置を受けやすくなります。
治療後の隙間に食べかすが詰まりやすい理由と対処ポイント

歯周病治療を終えたあとの隙間に食べかすが詰まっているように感じると、どう対処すべきか迷う方もいるでしょう。
これは歯ぐきが引き締まって隙間が広がったこと(健康な状態に戻ったこと)が原因で、決して珍しい状態ではありません。
また、無理に爪楊枝などで取ろうとすると、せっかく治った歯ぐきを傷つけてしまう場合もあります。大切なのは、無理に取り除こうとせず、適切な道具を使ってやさしく対応することです。
歯間ブラシやフロスを活用する
治療後の隙間は、通常の歯ブラシだけでは汚れを落としきれないことがあります。
そのため、隙間の大きさに合った「歯間ブラシ」や「デンタルフロス」を活用することが非常に重要です。特に歯間ブラシは、サイズが合っていないと歯ぐきを傷つけたり、逆に汚れが取れなかったりするため、歯科医院で自分に合うサイズを指導してもらうのがおすすめです。
「隙間があるのはケアが必要なサイン」という考え方を持つことが、再発を防ぐポイントです。
無理に取ろうとせずやさしく対応することが大切
食後に詰まり感がある場合でも、強くうがいをしすぎたり、爪楊枝で無理にかき出したりすることは避けましょう。
必要以上の刺激は、歯ぐきの退縮(さらに下がること)や痛みを引き起こす原因になります。基本的には、歯間ブラシをゆっくりと通し、優しく汚れを押し出す程度にとどめることが大切です。
それでも不安が続く場合や、どうしても取れない汚れがある場合には、無理に自己処理を続けず、歯科医院でクリーニングを受けると安心につながります。
赤崎院長の総評|歯周病治療後の隙間は、回復の証であることも多い
歯周病治療を受けたあとに歯の隙間が空いて見えると、不安を感じるのは自然なことです。
しかし、治療においては「腫れが引いて歯ぐきが引き締まる」ことが目標の一つであり、隙間ができることは、ある意味で治療が順調に進んだ証拠(回復の途中)であるケースも少なくありません。
大切なのは、しみる痛みや出血の変化、日常生活への影響、においや揺れといったサインを一つずつ落ち着いて確認することです。
自己判断で悩みすぎず、迷ったときは歯科医院へ相談しながら、健康な歯ぐきを維持していきましょう。

愛知県半田市で歯医者をお探しなら「歯科ハミール本院」
名鉄「住吉町駅」より徒歩1分の歯医者
当院、医療法人歯科ハミールの分院も、今後共よろしくお願いいたします。
この記事を監修した人

歯科ハミール本院 院長 赤崎 絢
所属学会
略歴