歯磨きのときに出血があったり、歯ぐきがムズムズしたりすると、大きな不安を感じますよね。
「毎日磨いているのに、なぜ悪くなるの?」
そう疑問に思うのは当然です。
歯周病は、単に口の中だけの問題ではありません。
実は、日々の生活習慣や体の状態が深く関係しています。
正しい原因を知れば、漠然とした恐怖は消え、今日からやるべき対策が見えてくるはずです。
ここでは、歯周病の直接的な原因と、悪化させる間接的な要因について、専門用語を使わずに解説します。

目次
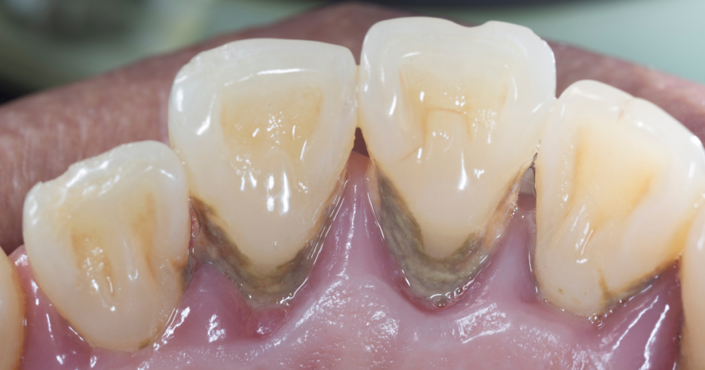
歯周病を引き起こす最大の犯人は「プラーク」
結論からお伝えします。
歯周病の直接的な原因は、歯の表面に付着した「プラーク(歯垢)」です。
多くの人が誤解していますが、プラークは単なる食べかすではありません。
細菌が繁殖してできた「細菌の塊」です。
わずか1mgに1億個以上の細菌
プラーク1mgの中には、およそ1億個もの細菌が潜んでいます。
想像してみてください。
キッチンの排水溝にできるヌメリをイメージするとわかりやすいでしょう。
あのヌメリと同じような細菌の集合体(バイオフィルム)が、歯と歯ぐきの間で増殖しているのです。
この細菌が出す毒素が、歯ぐきに炎症を起こします。
体がその毒素と戦おうとして、歯ぐきが赤く腫れたり、出血したりする反応を示します。
これが歯周病の始まりです。
放置すると歯を支える骨が溶ける
プラークを放置すると、唾液中の成分と結びついて「歯石」になります。
歯石になると、歯ブラシでは取り除けません。
歯石の表面はザラザラしており、さらに細菌が溜まる温床となります。
炎症が続くと、体は細菌から身を守るために、自ら歯を支える骨を溶かして後退させます。
最終的に歯がグラグラになり、抜け落ちてしまうのです。
誰もが持っている?「環境」が細菌を暴れさせる

「細菌がいるなら、全員が重症化するの?」
そう思う方がいるかもしれません。
しかし、口の中に歯周病菌がいても、すべての人が発症するわけではありません。
細菌の活動を活発にしたり、体の抵抗力を弱めたりする「環境因子(リスクファクター)」が大きく関わっています。
以下の表に、歯周病を悪化させる主な要因をまとめました。
| 要因 | 歯周病への影響 | 具体的なリスク |
| 喫煙 | 血管を収縮させ、血流を悪くする | 酸素不足で菌が繁殖、薬が効かない |
| 糖尿病 | 体の防御機能を低下させる | 傷が治りにくい、重症化の速度が速い |
| ストレス | 免疫力を下げ、抵抗力を奪う | 歯ぎしりの原因、唾液の減少 |
| 食生活 | 栄養バランスの乱れ | 歯ぐきの修復に必要な栄養が不足 |
| 薬の副作用 | 歯ぐきの増殖を引き起こす | 歯ぐきが腫れ、プラークが溜まる |
それぞれの要因について、詳しく見ていきましょう。
1. 喫煙は最大のリスクファクター

タバコは歯周病にとって、最も危険な要因の一つです。
喫煙者は非喫煙者に比べて、歯周病にかかるリスクが2倍から8倍も高くなるといわれています。
血管が縮まり、SOSサインが出ない
タバコに含まれるニコチンは血管を収縮させ、歯ぐきへの血流を悪くします。
すると、本来ならば炎症で赤く腫れたり出血したりするはずのSOSサインが出なくなります。
「出血しないから大丈夫」
そう思い込んでいる間に、内部で病気が静かに進行します。
気づいたときには手遅れになっているケースも少なくありません。
- タバコが及ぼす悪影響
- 白血球の機能が低下する
- 歯ぐきが硬くなり出血しない
- 治療しても治りが遅い
2. 糖尿病と歯周病の深い関係

糖尿病と歯周病は、互いに悪影響を及ぼし合う関係にあります。
高血糖の状態が続くと、体の免疫機能が低下し、細菌への抵抗力が落ちます。
その結果、歯周病菌が増殖し、炎症が急激に広がるのです。
一方で、歯周病の炎症物質が血液に入り込むと、インスリンの働きを妨げ、血糖値を下げにくくします。
つまり、歯周病を治療すれば、糖尿病の数値が改善する可能性もあるのです。
医科と歯科、両方での連携が欠かせません。
3. ストレスと生活習慣の乱れ
「最近、仕事が忙しくて歯ぐきが腫れた」
そんな経験はありませんか?
過度なストレスは、自律神経のバランスを崩し、免疫力を低下させます。
体の抵抗力が落ちると、普段は抑え込まれている細菌が勢力を増し、一気に暴れ出します。
歯ぎしりや食いしばりの影響
ストレスは、無意識のうちに「歯ぎしり」や「食いしばり」を引き起こします。
歯に過度な力が加わると、歯を支える組織にダメージを与え、炎症を悪化させます。
- ストレスが招く悪循環
- 唾液が減り口が乾く
- 歯ブラシがおろそかになる
- 睡眠不足で修復が進まない
4. 口の中の環境要因
生活習慣だけでなく、口の中の状態そのものが原因となる場合もあります。
細菌が住み着きやすい環境を作ってしまうと、いくら磨いても追いつきません。
歯並びの悪さ
歯が重なっている部分は、歯ブラシの毛先が届きません。
磨き残しが必ず発生し、そこからプラークが溜まります。
矯正治療は見た目を良くするだけでなく、歯周病予防の観点からも有効です。
口呼吸(くちこきゅう)
鼻ではなく口で呼吸をする癖がある人は、口の中が常に乾燥します。
唾液には細菌を洗い流し、殺菌する作用があります。
乾燥すると唾液の恩恵を受けられず、細菌が繁殖し放題になってしまいます。
朝起きたときに口がカラカラに乾いている人は、注意してください。
就寝中に口呼吸になっている可能性があります。
不適合な被せ物
昔治療した銀歯や詰め物が合っていない場合も危険です。
歯と詰め物の間に段差や隙間があると、そこに汚れが入り込みます。
どんなに丁寧に磨いても汚れを取り除くのは不可能です。
歯科医院で調整し直すか、新しく作り直す必要があります。
女性ホルモンの変化も影響する
女性の場合、ライフステージごとにホルモンバランスが変化し、それが歯周病のリスクを高めます。
- 思春期
- ホルモンの増加で歯肉炎になる
- 試験勉強などのストレスも重なる
- 妊娠期
- つわりで歯磨きができない
- 特定の菌がホルモンを好み増殖する
- 更年期
- ホルモン減少で骨が弱くなる
- 唾液が減少しドライマウスになる
特に妊娠中は「妊娠性歯肉炎」になり、早産や低体重児出産のリスクを高めると報告されています。
安定期に入ったら、一度検診を受けるよう心がけてください。
今日からできる原因除去のアプローチ

ここまで読めば、歯周病の原因が一つではないと理解できたはずです。
原因が複雑に絡み合っているからこそ、多角的なアプローチが必要です。
1. プラークコントロールの徹底
基本にして最大の対策は、毎日の歯磨きです。
ただ漫然と磨くのではなく、「汚れを落とす」という意識を持ってください。
- 効果的なケアの手順
- 歯と歯ぐきの境目を狙う
- フロスや歯間ブラシを使う
- 就寝前は特に丁寧に行う
歯ブラシだけでは、汚れの6割程度しか落ちません。
歯と歯の間にあるプラークを取り除くには、デンタルフロスや歯間ブラシの併用が必須です。
2. 生活習慣の見直し
細菌に負けない体を作ることも立派な治療です。
以下のポイントを意識してください。
- 十分な睡眠をとり免疫を保つ
- 禁煙にチャレンジする
- 糖分のダラダラ食べを控える
- 鼻呼吸を意識する
いきなりすべてを変えるのは難しいでしょう。
まずは「夜更かしを避ける」「おやつを決まった時間に食べる」といった小さな一歩から始めてみてください。
3. プロによる定期的なメンテナンス
自分自身のケアには限界があります。
歯周ポケットの奥深くに入り込んだ歯石やバイオフィルムは、歯科医院の専用器具でなければ除去できません。
3ヶ月に1回程度、定期検診に通ってください。
プロの手で汚れをリセットし、磨けていない場所の指導を受ける。
この繰り返しが、将来の歯を守ります。
赤崎院長の総評:原因を知れば怖くない
歯周病は、沈黙の病気(サイレントディジーズ)と呼ばれます。
痛みがないまま進行するため、気づいたときには手遅れになりがちです。
しかし、原因ははっきりしています。
「プラーク(細菌)」と「それを助長する生活習慣」です。
- 本記事のポイント
- 直接の原因はプラーク
- 喫煙や糖尿病がリスクを高める
- ストレスも免疫を下げて悪化させる
- 自分磨きとプロケアの両立が必要
「もう手遅れかも」と諦める必要はありません。
原因を取り除けば、進行を食い止め、健康な状態を取り戻せます。
まずは今日の歯磨きから、一本一本丁寧に磨いてみてください。
そして、勇気を出して歯科医院のドアを叩きましょう。
その行動が、あなたの10年後、20年後の笑顔を守ります。

愛知県半田市で歯医者をお探しなら「歯科ハミール本院」
名鉄「住吉町駅」より徒歩1分の歯医者
当院、医療法人歯科ハミールの分院も、今後共よろしくお願いいたします。
この記事を監修した人

歯科ハミール本院 院長 赤崎 絢
所属学会
略歴